Introduction
Non-nutritive sucking habits (NNSH) refer to a collective group of comforting, repetitive behaviours in infants and young children that manifest most frequently as pacifier use or digit sucking. Digit sucking is an instinctual and primitive reflex, which starts in the intrauterine period and facilitates the development of sucking reflexes for breastfeeding.1 Children engage in these unconscious behaviours as part of their normal psychological and physiological development. Engaging in these habits can provide a calming effect for the child, promoting psychological stability and aiding in nutrition.
The global prevalence of NNSH is estimated to range from 34% to 90%,2 with the incidence reducing with age.3 An Irish study looking at over 800 preschool children found that 64% engaged in NNSH, with five times as many pacifier users as digit suckers.4
The majority of NNSH are ceased spontaneously by the child’s own impetus, often when the habit becomes socially unacceptable and with the development of greater psycho-emotional maturity.5 However, it has been found that over half of children may continue to have an NNSH up to 24 months, with habits persisting beyond 36 months in 20% of children.6 Habits are classified as prolonged if they continue beyond 36 months of age.7 Prolonged duration of such behaviours can have significant consequences for the developing orofacial structures and occlusion.7
Dental practitioners must be aware of NNSH and their role in delivering habit cessation advice, as malocclusions can be improved or prevented if these habits are managed early. Indeed, all healthcare workers who have contact with children during their early years, such as public health nurses, should have awareness about NNSH, in order to deliver anticipatory guidance.
Understanding the range of approaches available can reduce the need for more invasive and rehabilitative approaches in later life. A recent Cochrane review examined the evidence for habit cessation techniques, including behaviour modification techniques, aversive therapies, and orthodontic appliances.8 Some interventions may be more applicable depending on the particular habit, and certain approaches are easier to implement than others. The aim of this narrative review is to update the dental practitioner with contemporary techniques for NNSH cessation and their evidence base.
What is the problem with prolonged NNSH?
The development of the dentofacial complex is governed by both genetic and environmental factors. The earlier the introduction of environmental factors, the greater their effect on the developing dentoskeletal complex is likely to be.9 Persistent NNSH, especially during the establishment of the permanent dentition – i.e., with the eruption of the permanent incisors – can contribute to undesirable dentoskeletal effects. The resultant malocclusion is dependent on a triad of features associated with the habit: intensity; severity; and, duration.10
The characteristic features of persistent NNSH are theorised to result from the combination of direct forces acting on the dentition from the digit itself, and changes in the pressure on the teeth from the peri-oral musculature.
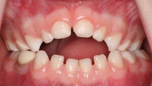
While both digit sucking and pacifier use cause effects on the developing dentition, pacifier use has been found to have a more detrimental effect on the occlusion.11 In addition, there is some evidence that prolonged use of pacifiers can contribute to speech difficulties. However, the evidence base for this is limited.12 If pacifier use continues beyond the age of three, there is a higher reported incidence of anterior open bite (Figure 1) and posterior crossbite compared to digit sucking, with the extent of these changes proportional to the longevity of the habit. Orthodontic pacifiers (Figure 2) may cause less detrimental effects on the occlusion than conventional ones; however, the evidence for this is limited.13 During prolonged thumb-sucking, the tongue is depressed, causing a change in the balance of forces between the tongue and the cheeks. In addition, the negative pressure caused by the sucking action can cause constriction of the upper arch, leading to the development of transverse discrepancies, manifesting in posterior crossbites.14 Prolonged digit pressure also leads to intrusion and proclination of the upper incisors and retroclination of the lower incisors, creating the features characteristic of an Angle’s Class II Division 1 malocclusion (Figure 3). Studies have shown that digit sucking is more likely to cause an increased overjet than pacifier use.3 An overjet greater than 6mm, alongside a loss of lip competency, has been shown to more than double the risk of trauma to the dentition.2 The positioning of the digit causes separation and subsequent overeruption of the teeth posteriorly, leading to an anterior open bite, which is often characteristically asymmetrical, depending on the digit(s) being sucked.
How can these habits be managed in general dental practice?
The first step in the management of persistent NNSH is the recognition that the problem exists. This can be elucidated through a thorough habit history from a parent/guardian, to ascertain the presence of the habit, its duration, intensity, and factors that may perpetuate the habit. Once a habit is recognised, the most important factors for management include the child’s age and the emotional significance of the habit.15
The age of the child will dictate whether active intervention is necessary to address an NNSH. A clinical protocol published by Shah and colleagues offers an algorithm to manage NNSH, based on the age of the child, and is in line with international guidelines.16
Before the age of two, NNSH are considered part of normal development and are rarely discouraged. In particular, NNSH are useful in aiding the nutrition of preterm infants.17 The role of NNSH in the prevention of sudden infant death syndrome (SIDS) is very controversial, and more evidence is needed concerning a potential protective effect.18
Between two and four years, mild discouragement is recommended. Therefore, it is suggested that early dental visits are important to provide parents with anticipatory guidance to intercept the habit, providing the opportunity to deliver and act on advice for NNSH cessation before the habits become persistent.19 This is aligned with the ethos of the National Oral Health Policy, Smile agus Sláinte, which supports universal access to oral care services from birth. Early interceptive efforts can be instigated once the child is aged four and above when a child will have a greater understanding.7 More invasive approaches are reserved for children from age seven onwards, especially where habits are beginning to affect dentoalveolar relationships.
The child’s emotional attachment to the habit should not be underestimated. Co-operation and motivation to stop the habit are very important factors in predicting the success of NNSH cessation techniques. Efforts to intercept the habit will be futile if the child does not possess the impetus and desire to stop the habit. However, practitioners should be aware that persistent NNSH in older children may represent a compensating response, and onward referral for further assessment may be required.
There is a range of approaches available to manage NNSH, including pacifier substitution, psychological therapies, aversive therapies, and orthodontic approaches.
Pacifier substitution
It has been demonstrated that, once developed, digit-sucking habits last longer than pacifier use,8 thus imparting a more detrimental effect on the occlusion. As a result, some authorities recommend switching to pacifiers for infants under four who demonstrate digit-sucking habits. This is based on the premise that a pacifier may be easier to remove if the habit becomes persistent.16 The American Academy of Pediatrics recommends the use of a pacifier for infants under six months, based on good patient-oriented evidence.20 However, this is not a uniformly supported recommendation. The WHO does not advise pacifiers for infants, as they are considered to discourage breastfeeding. It is important to note, however, that a recent Cochrane review found no significant effect of pacifier use on lactation, whether starting from birth or after breastfeeding.21
Psychological techniques
Psychological techniques to intercept NNSH range from patient/parent counselling to the implementation of behaviour modification techniques, and involve various methods central to the cessation of any maladaptive behaviour.
Habit reversal therapy is employed for many repetitive behavioural problems. This technique involves training the child to recognise behaviours that precede the habit and teaching new responses to the habit. This technique involves four steps: awareness training; competing response therapy; social support; and, motivational training. For example, the child who is a digit sucker is first made aware of the habit. They are then taught a competing behaviour or response, which is incompatible with the habit (such as sitting on their hands). The child is then given prompts and reminders to continue these competing behaviours, as well as praise. Finally, the child is rewarded for their efforts.
Other commonly used psychological techniques include reinforcement. Positive reinforcement involves the addition of a reinforcing stimulus following wanted behaviour to encourage that behaviour in the future, for example, offering a reward when a child does not engage in NNSH. Conversely, negative reinforcement involves outlining the risks and consequences associated with a behaviour to elicit interest in habit cessation, such as warning about the need for orthodontic treatment in the future. A Cochrane review found that both positive and negative reinforcement significantly reduced the incidence of NNSH versus no treatment, with no difference between the techniques.8 Clinical guidelines from the American Dental Association (ADA) recommend psychological therapies as a first-line approach for NNSH cessation, but with an emphasis on positive rather than negative reinforcement.22
Psychological techniques have been shown to have high success rates (75-100%) for some maladaptive behaviours, but the evidence is limited for NNSH. However, it may be useful for practitioners to be aware of these structured techniques as a basis for advising parents and patients on NNSH cessation.
Aversive techniques
Aversive therapies involve the use of barriers to act as deterrents when the NNSH manifests as digit sucking. These barriers remind the child to avoid these behaviours and, as such, co-operation is a prerequisite for success. These can include physical barriers, such as thumb guards (Figure 4), gloves, plasters, and socks, or chemical agents such as Stop’n Grow (Figure 5), which is a bitter-tasting nail-biting deterrent. The purpose of these barriers is to eliminate the satisfaction associated with the behaviour, especially at night, when the child may engage in habits subconsciously. While there is some reported success with chemical agents, a recent Cochrane review concluded that there is currently insufficient evidence to suggest whether barrier techniques are any more or less successful at habit cessation than psychological techniques alone.8 However, where first-line psychological therapies fail in NNSH cessation, it is recommended to follow with aversive therapies. There is also evidence to suggest that these techniques are less useful for long-standing habits. It is important to be cognisant that the use of aversive approaches may be associated with the child adopting oppositional behaviour in place of an NNSH.23
Orthodontic devices
Orthodontic appliances have been a mainstay in the management of persistent NNSH, often employed at the later stages of more persistent habits and usually related to digit sucking. The principal mechanism of action of these devices is the elimination of the pleasure associated with the habit, by preventing the formation of a seal between the digit and lips. There are a variety of designs, most of which incorporate a distractor/barrier in the anterior maxilla to physically stop the child from engaging in NNSH (Figure 6). Several studies have concluded that fixed orthodontic appliances are beneficial for habit cessation in both the long and short term versus no treatment, with a cumulative success rate of 46%.8 Orthodontic habit breaker appliances not only improve tooth positioning but may also improve skeletal relationships and are highly effective in the early treatment of digit-sucking-induced open bites.
These techniques are not without problems, however, given the long period (up to 10 months) appliances must be worn for. Problems encountered with these appliances include the cost, emotional upset, speech problems, and eating difficulty. The child may also develop oppositional behaviour in response to the treatment. With the use of fixed orthodontic appliances, there is also an increased tendency for enamel decalcification and gingival inflammation.
What guidelines exist to aid practitioners in the management of these cases?
There is currently no single standard treatment for the cessation of NNSH. Contemporaneous guidelines published by the American Academy of Pediatric Dentistry (AAPD) and the ADA offer some guidance to general practitioners in the management of these complex cases (Table 1).22,24 These guidelines recommend adopting a stepwise approach to managing NNSH, with an emphasis on the early introduction of psychological therapies, while more invasive techniques are withheld for older children with more ingrained habits. The age at which NNSH should be considered a problem is reflected in the effect of the habit on the occlusion. Consideration for referral to a specialist in more complex cases is also advocated. For parents and caregivers, the HSE provides practical, parent-centred advice concerning NNSH, with information on simple ways to stop these habits, including the use of soothers only at set times and removal of soothers when the child is asleep, as well as making sure hands are clean for those who suck digits.25
Conclusion
NNSH are common, normal behaviours seen in children worldwide, which are important in early childhood development and should not be withdrawn too early. An understanding of the effects of persistent NNSH on the developing dentition and the management options available may assist general practitioners to intercept habits before the need for more invasive rehabilitative approaches later in life. Several methods can be employed at various stages to aid in habit cessation. The option chosen must be individualised to the patient, with due consideration for the success of any previous techniques used, the child’s comprehension and development, and individual patient circumstances. Future high-quality studies are needed to strengthen the evidence base surrounding the various techniques available to the general practitioner to promote NNSH cessation.





